整形外科 藤田 渉
|
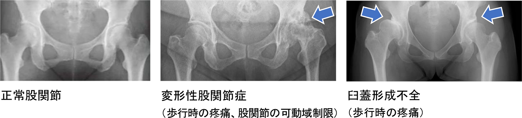
【どんな疾患?】 |
||
|
【どんな症状?】 |
|
|
|
【原因は?】
|
|
|
|
|
||
|
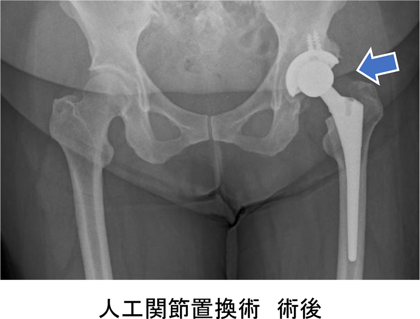
【治療は?】 ■保存療法
|
||
|
【手術は怖くない?リスクは?】 人工関節置換術では、術後脱臼を予防するために禁止肢位(正座から足をくずした座り方、いわゆる女の子座りのような姿勢がダメなど)がありますが、これも近年筋肉や腱をできるだけ切らない手術法が普及し、より制限なく日常生活に戻っていただけるようになっていきます。 患者様はそれぞれ症状も違えば生活様式も異なります。私たちは患者様一人一人に合わせた治療法を提案すべく日々の診療に取り組んでおります。股関節でお悩みのことがあればお気軽にご相談ください。 |
||



